Jak rozpoznać ciążę u kotki? Sprawdź wczesne i późniejsze sygnały
- Zmiany fizyczne: Jednym z pierwszych i najbardziej charakterystycznych objawów są powiększone i zaróżowione sutki, widoczne już około 3. tygodnia ciąży. Kotka może również zacząć przybierać na wadze i mieć zwiększony apetyt.
- Zmiany behawioralne: Wiele kotek staje się bardziej czułych i szuka bliskości, inne mogą być bardziej wycofane lub drażliwe. Zauważalny jest także spadek aktywności i zwiększona potrzeba snu.
- Powiększający się brzuch: Wyraźne zaokrąglenie brzucha staje się widoczne zazwyczaj po około 4-5 tygodniach od zapłodnienia.
- Syndrom wicia gniazda: Pod koniec ciąży kotka instynktownie szuka cichego i bezpiecznego miejsca na poród, znosząc do niego różne przedmioty.
- Potwierdzenie u weterynarza: Najpewniejsze metody to badanie palpacyjne (od ok. 20. dnia), USG (od ok. 25. dnia) oraz RTG (po 45. dniu ciąży, aby precyzyjnie policzyć kocięta).
- Długość ciąży: Ciąża u kotki trwa średnio od 63 do 67 dni.

Pierwsze sygnały ciąży u kotki: co powinno wzbudzić Twoją czujność?
Wczesne rozpoznanie ciąży u kotki to podstawa, aby odpowiednio zadbać o jej potrzeby. Jako opiekunka kotów z doświadczeniem wiem, że nie zawsze jest to oczywiste na pierwszy rzut oka. Istnieją jednak pewne sygnały, które mogą nam pomóc.
Zmiany w wyglądzie i apetycie: jak ciało kotki zdradza ciążę?
Na początku ciąży, podobnie jak u ludzi, ciało kotki zaczyna się zmieniać. Zauważysz, że jej apetyt znacznie wzrasta, co jest naturalne, ponieważ jej organizm przygotowuje się do wykarmienia małych. W konsekwencji kotka będzie stopniowo przybierać na wadze zazwyczaj od 1 do 2 kilogramów w ciągu całej ciąży. To ważny sygnał, na który zawsze zwracam uwagę.
Dlaczego sutki zmieniają kolor? Kluczowy objaw wczesnej ciąży
Jednym z najbardziej wiarygodnych i najwcześniejszych fizycznych objawów ciąży, które obserwuję, jest zmiana w wyglądzie sutków. Zazwyczaj około 3. tygodnia ciąży stają się one powiększone i wyraźnie zaróżowione. To tak zwane "różowienie", które jest efektem zwiększonego przepływu krwi i przygotowywania się gruczołów mlecznych. Jeśli zauważysz ten objaw, to duża szansa, że Twoja kotka spodziewa się kociąt.
"Syndrom drugiego śniadania": kiedy wzrost apetytu powinien wzbudzić Twoją czujność?
Jak już wspomniałam, wzrost apetytu jest bardzo częstym zjawiskiem. Kotka w ciąży potrzebuje znacznie więcej energii, co przekłada się na większe porcje jedzenia i częstsze domaganie się posiłków. Niektóre kotki stają się wręcz nienasycone! Obserwuj, czy Twoja pupilka zaczyna jeść z większym zapałem i czy jej miska szybko pustoszeje. Wzrost wagi jest tego naturalną konsekwencją.
Poranne mdłości u kota? Tak, to możliwe i często oznacza jedno
Choć może to brzmieć zaskakująco, niektóre kotki, podobnie jak kobiety, mogą doświadczać porannych mdłości i wymiotów na wczesnym etapie ciąży. Zazwyczaj jest to objaw przejściowy i nie powinien trwać długo. Jeśli jednak wymioty są częste lub towarzyszą im inne niepokojące symptomy, zawsze warto skonsultować się z weterynarzem, aby wykluczyć inne przyczyny.Jak odczytać zmiany w zachowaniu ciężarnej kotki?
Oprócz zmian fizycznych, ciąża wpływa również na psychikę i zachowanie kotki. Jako właścicielka, szybko zauważysz te subtelne, a czasem bardzo wyraźne różnice.
Od niezależnej łowczyni do pieszczocha: nagła potrzeba bliskości
Wiele kotek w ciąży staje się znacznie bardziej czułych i "przylepnych". Moja doświadczenie pokazuje, że często szukają one więcej kontaktu z opiekunem, domagają się pieszczot i częściej wskakują na kolana. To tak, jakby instynktownie szukały dodatkowego wsparcia i bezpieczeństwa. Jeśli Twoja zazwyczaj niezależna kotka nagle staje się małym cieniem, to może być sygnał.
Spadek energii i więcej drzemek: czy to powód do niepokoju?
Ciąża to dla organizmu kotki spory wysiłek, dlatego naturalne jest, że kotka może odczuwać większe zmęczenie. Zauważysz, że więcej śpi i unika intensywnych zabaw. Spadek aktywności i zwiększona potrzeba drzemek to zazwyczaj normalne objawy i nie powinny wzbudzać niepokoju, o ile kotka ogólnie czuje się dobrze.
Instynkt bierze górę: na czym polega syndrom "wicia gniazda"?
Pod koniec ciąży, kiedy poród zbliża się wielkimi krokami, kotka zaczyna wykazywać tak zwany "syndrom wicia gniazda". To silny, pierwotny instynkt. Będzie szukać cichego, ciepłego i bezpiecznego miejsca, gdzie będzie mogła spokojnie urodzić i wychować kocięta. Może znosić do wybranego miejsca koce, ręczniki, a nawet Twoje ubrania, aby stworzyć przytulne legowisko.
Kiedy czułość zamienia się w irytację? Zrozum wahania nastrojów ciężarnej kotki
Chociaż wiele kotek staje się bardziej czułych, niektóre mogą reagować inaczej. Zdarza się, że ciężarne kotki stają się bardziej drażliwe lub wycofane, zwłaszcza w obecności innych zwierząt domowych. Mogą szukać samotności i unikać interakcji. To również jest normalne i wynika z hormonalnych zmian oraz potrzeby zapewnienia sobie spokoju przed porodem.
Zaawansowana ciąża: widoczne i pewne symptomy
W miarę jak ciąża postępuje, objawy stają się coraz bardziej widoczne i jednoznaczne.
Kiedy brzuszek staje się widoczny? Etapy powiększania się brzucha
Najbardziej oczywistym sygnałem zaawansowanej ciąży jest oczywiście powiększający się brzuch. Wyraźne zaokrąglenie staje się widoczne zazwyczaj po około 4-5 tygodniach od zapłodnienia. Brzuch kotki staje się bardziej obwisły i wyraźnie większy. To już ten moment, kiedy nie ma wątpliwości.
Jak bezpiecznie dotykać brzucha kotki i czy można wyczuć ruchy kociąt?
Dotykanie brzucha ciężarnej kotki powinno być wykonywane z największą ostrożnością i delikatnością. Pamiętaj, że wewnątrz rozwijają się małe istoty, które są bardzo wrażliwe. W zaawansowanej ciąży, zwłaszcza w ostatnich tygodniach, można czasem wyczuć delikatne ruchy kociąt, przykładając dłoń do brzucha. Jednakże, aby bezpiecznie i prawidłowo ocenić rozwój płodów, zawsze zalecam wizytę u weterynarza. Doświadczony lekarz jest w stanie wyczuć płody podczas badania palpacyjnego, minimalizując ryzyko. Absolutnie odradzam samodzielne, nieumiejętne badania, które mogą zaszkodzić zarówno kotce, jak i jej nienarodzonym kociętom.Zwiększona pielęgnacja i inne nietypowe zachowania w ostatnich tygodniach ciąży
W ostatnich tygodniach ciąży kotka może również zwiększyć pielęgnację okolic sromu, co jest naturalnym przygotowaniem do porodu. Może też wykazywać inne subtelne zmiany behawioralne, takie jak większy niepokój, częstsze zmienianie miejsca odpoczynku czy intensywniejsze "wicie gniazda". To wszystko są sygnały, że wielki dzień zbliża się wielkimi krokami.

Jak weterynarz może potwierdzić ciążę u kotki?
Nawet jeśli jesteś pewna, że Twoja kotka jest w ciąży, wizyta u weterynarza jest niezbędna. Tylko profesjonalista może potwierdzić ciążę, ocenić stan zdrowia kotki i kociąt oraz zaplanować odpowiednią opiekę.
Badanie palpacyjne: co doświadczony lekarz jest w stanie wyczuć?
Badanie palpacyjne to jedna z pierwszych metod, którą stosuje weterynarz. Doświadczony lekarz jest w stanie wyczuć płody w jamie brzusznej kotki już około 20. dnia ciąży. Kocięta na tym etapie są wyczuwalne jako małe, twarde kuleczki. To szybka i często wystarczająca metoda wstępnego potwierdzenia.
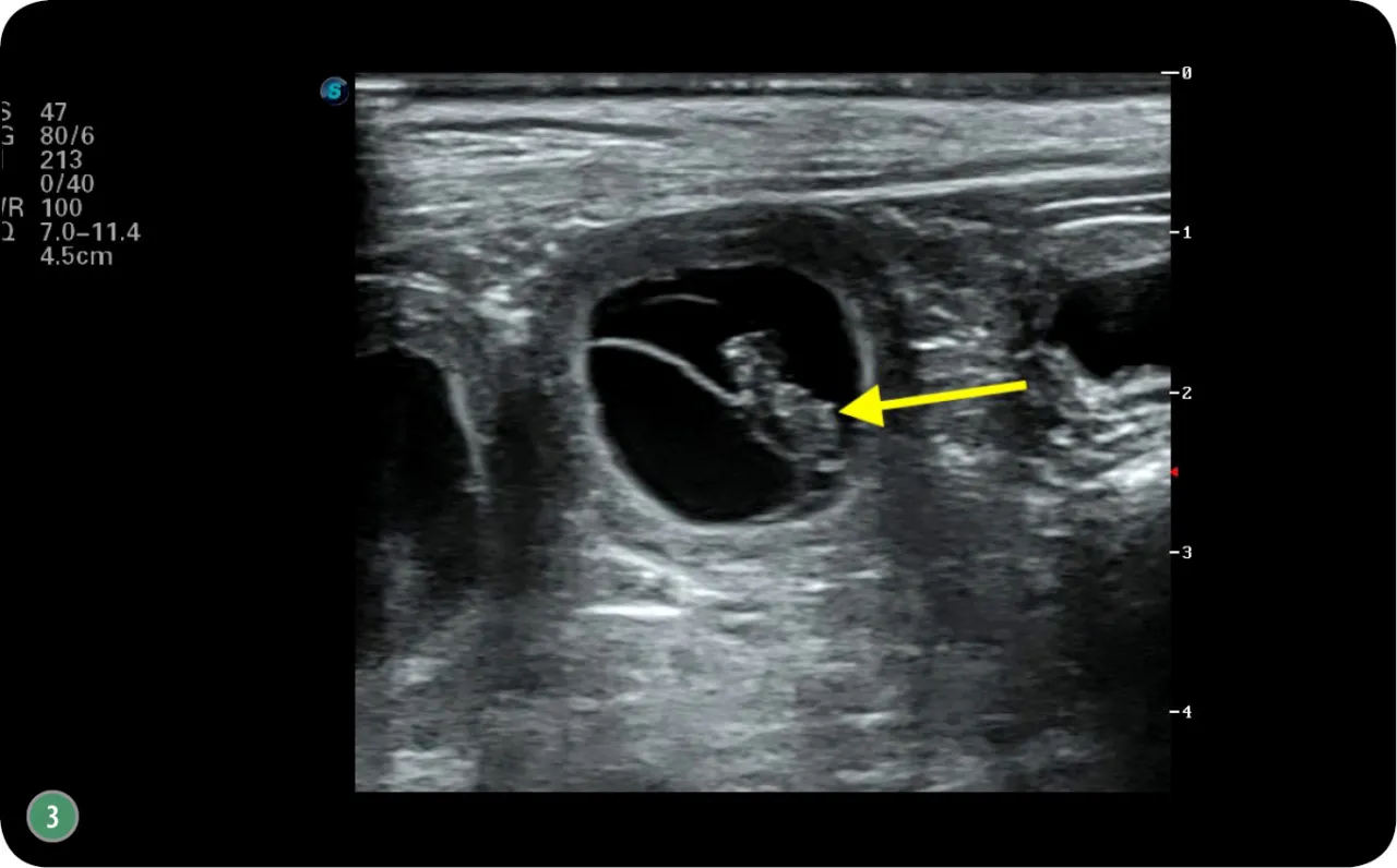
USG: najpewniejsza metoda, by zobaczyć i policzyć przyszłe potomstwo
Moim zdaniem, badanie USG jest najpewniejszą metodą potwierdzenia ciąży. Pozwala ono nie tylko zobaczyć płody, ale także ocenić ich żywotność, obserwując bijące serca. Co więcej, weterynarz może oszacować liczbę kociąt oraz ich wiek ciążowy. USG można wykonać już po 25. dniu ciąży, co daje nam bardzo wczesną i precyzyjną informację.
Kiedy wykonuje się badanie RTG i dlaczego jest ono tak ważne przed porodem?
Badanie RTG (rentgenowskie) wykonuje się zazwyczaj pod koniec ciąży, po 45. dniu. W tym okresie szkielety kociąt są już uwapnione i dobrze widoczne na zdjęciu. RTG pozwala na bardzo precyzyjne określenie liczby płodów, co jest absolutnie kluczowe przed porodem. Dzięki temu wiemy, ile kociąt powinna urodzić kotka, co pomaga w monitorowaniu przebiegu porodu i szybkim reagowaniu w przypadku komplikacji.
Czy istnieją domowe testy ciążowe dla kotów? Obalamy mity
Wiele osób pyta mnie o domowe testy ciążowe dla kotów, podobne do tych dla ludzi. Niestety, muszę obalić ten mit domowe testy ciążowe dla kotów nie są powszechnie dostępne ani wiarygodne. Istnieją testy hormonalne, które wykrywają hormon relaksyny, produkowany tylko w czasie ciąży, ale są one wykonywane w gabinecie weterynaryjnym na podstawie próbki krwi. Zawsze polecam konsultację z weterynarzem, zamiast polegać na niepewnych metodach.
Długość ciąży i przygotowania do porodu
Kiedy już wiemy, że kotka jest w ciąży, naturalnie pojawia się pytanie o to, kiedy możemy spodziewać się kociąt i jak się do tego przygotować.
Od zapłodnienia do porodu: kalendarz kociej ciąży
Ciąża u kotki trwa średnio od 63 do 67 dni, co daje nam około 9 tygodni. To stosunkowo krótki okres, dlatego warto być przygotowanym. W pierwszych tygodniach zmiany są subtelne, ale w miarę upływu czasu kotka będzie coraz bardziej zaokrąglona, a jej zachowanie będzie wskazywało na zbliżający się poród.
Sygnały zbliżającego się porodu: jak rozpoznać, że to już "ten" moment?
Zbliżający się poród to ekscytujący, ale i stresujący czas. Oto sygnały, na które zawsze zwracam uwagę:
- Spadek temperatury ciała: Na około 12-24 godziny przed porodem temperatura ciała kotki może spaść o około 1 stopień Celsjusza (poniżej 37,8°C).
- Niepokój i szukanie ustronnego miejsca: Kotka staje się niespokojna, może chodzić po domu, drapać, miauczeć i intensywnie szukać miejsca na poród.
- Częste wylizywanie okolic sromu: Jest to naturalny objaw przygotowania do porodu.
- Utrata apetytu: Wiele kotek na krótko przed porodem traci zainteresowanie jedzeniem.
- Zmiany w zachowaniu: Może być bardziej nerwowa, a jednocześnie szukać Twojej bliskości lub wręcz przeciwnie całkowicie się wycofać.
Przeczytaj również: Kotka sika poza kuwetą? Poznaj prawdziwe powody i pomóż jej!
Jak stworzyć idealne i bezpieczne miejsce do porodu dla Twojej kotki?
Przygotowanie odpowiedniego miejsca do porodu jest niezwykle ważne. Pamiętając o instynkcie wicia gniazda, zadbaj o to, aby kotka miała ciche, ciepłe i bezpieczne schronienie. Może to być kartonowe pudełko wyłożone miękkimi kocami lub ręcznikami, umieszczone w ustronnym miejscu, z dala od zgiełku domowego. Ważne, aby kotka czuła się tam komfortowo i bezpiecznie, ponieważ to jej pomoże w spokojnym porodzie. Upewnij się, że ma łatwy dostęp do wody i kuwety w pobliżu.
